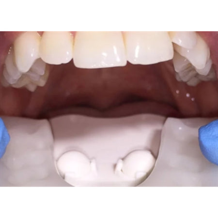
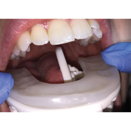
GrayDuck oral positioning stents are currently the only custom-fitted bite block system that can position the tongue in one of several positions; laterally (left or right), depressing (downward) or a combination thereof.
- Tongue-displacing and immobilizing oral stent
- Capable of providing repeatable tongue deviation and immobilizing in several directions
- Designed to provide repeatable immobilization and tissue sparing during radiotherapy
- Ergonomically developed to be a quick, easy-to-fit custom oral stent
- Usually requires less than 15 minutes to custom-fit a patient
- Can be secured to any CIVCO thermoplastic mask


























