MIM SurePlan™ LiverY90
A Comprehensive Solution for Y90
MIM SurePlan LiverY90 provides timesaving tools for liver and tumor segmentation, deformable registration, and post-treatment dosimetry using Y90-PET and Bremsstrahlung SPECT.
Key Features
- Timesaving tools for liver, lungs, and tumor VOI generation.
- Divide liver into lobes or segments based on your post-treatment goals.
- Calculate liver-lung shunt fraction from both planar and SPECT images.
- Multi-modality rigid and deformable fusion.
- Integrated custom reporting tools.
- Post-op dosimetry for Y90-PET and SPECT.
- Vendor-neutral Y90 microspheres dose calculation.
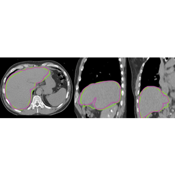
With MIM SurePlan LiverY90, there is no longer a need to wait for the 3D lab to provide you with liver volumes or use software not designed for this purpose. Through atlas segmentation, you can significantly reduce the time required to generate liver volumes. A recent study in the Journal of Nuclear Medicine demonstrated a 70% reduction in time compared to manual outlining of the liver. Industry-leading segmentation tools are also available for tumors and the lungs.
Easily Incorporate Multiple Modalities
Multiple modality image fusion is available, allowing comparison of PET, SPECT, CT, MR, and CBCT. Deformable image registration is also included for cases where there are differences in positioning, size, and organ movement.
Post-Therapy Dosimetry
MIM SurePlan LiverY90 provides tools for dose calculation using Y90-PET and Bremsstrahlung SPECT. This allows you to calculate isodose curves/DVH on PET/SPECT using Local Deposition Method or the Voxel S Value approach based on the schema in MIRD Pamphlet No. 17. Therapy response evaluation is possible with automated tools for serial exam comparison.
Integrated Reporting
MIM SurePlan LiverY90 offers an integrated reporting solution that allows for incorporation of images and statistics into reports to better describe the post-treatment course. Dictated text can be pulled into reports from PowerScribe® 360 and exported to PDF or DICOM structured reports.


























