EZFluence Automated 3D Planning in One Click
3D Planning, Automated
EZFluence is an FDA 510(k) cleared, automated 3D planning software. EZFluence generates optimal fluence files and field-in-field plans that import directly into Varian Eclipse TPS.
Any Site, Any Configuration
EZFluence works for any beam arrangement and any treatment site from head to toe. It standardizes field-in-field planning regardless of user while maintaining or improving plan quality compared to manual techniques.
IMRT/VMAT to 3D Plan Conversion
Billing justification plans are no longer a hassle or a stress to clinical resources; our automatic 3D converter tool takes the pain out of the justification process. Any IMRT or VMAT plan can be easily converted to a 3D plan in a matter of seconds.
Breast Planning
EZFluence follows ASTRO’s guidelines for whole breast treatment. Automate field-in-field and e-comp planning. Optimize coverage while minimizing the maximum dose and V105%.
- Preserve MLC blocking
- Generate fluence for the flash region
- Use on single or mixed energy plans
- Auto-contour the PTV Eval
3 & 4 Field Breast Planning
EZFluence automatically sets the SCLAV and PAB field weighting. Control the match line in monoisocentric plans with EZFluence by increasing coverage and minimizing hot spots.
Simultaneous Integrated Boost
For clinics following RTOG 1005, EZFluence allows the user to boost coverage to lumpectomy volumes. Instantly plan integrated boost plans.
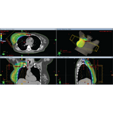
Lung Planning
Generate homogenous dose distributions in seconds for 3D lung plans. EZFluence works for any beam arrangement including non-coplanar beams. Say goodbye to wedges and time-consuming field-in-field planning.
Pelvis Planning
Still using wedges for 3-field rectum plans? EZFluence can automatically generate the fluence or field-in-field segments for the lateral beams. Compatible with single energy or mixed energies.
Whole Brain Field-in-Field
EZFluence automatically generates custom segments for patient’s plans. The user sets how many segments desired for each field.
Extremeties & More
EZFluence supports any 3D treatment site.
- Larynx
- Shoulder
- Hips
- Ribs
- APPA Spine


 
         
                 
                 
                 
                 
                 
                 
                 
                 
       
      























